If you’re considering dental implants with bone graft, understanding what a dental bone graft is and how it works is essential. At Implant Art, we provide expert guidance and care for patients seeking to restore their jawbone and achieve successful, long-lasting dental implants Brisbane.
In this beginner’s guide, we’ll explain the purpose, procedure, benefits, and aftercare for a dental bone graft, helping you make an informed decision for your smile.
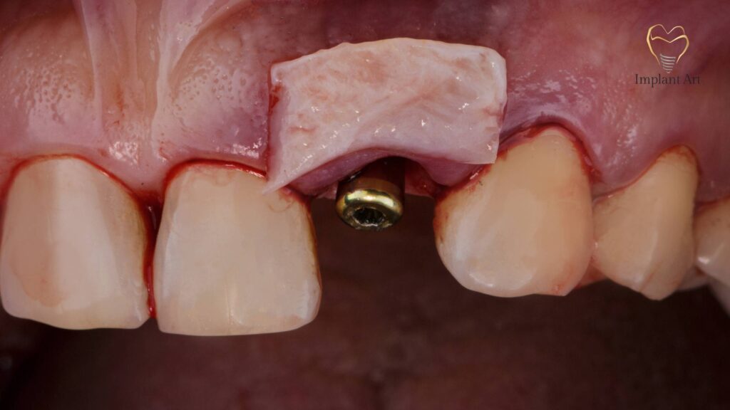
What is a Dental Bone Graft?

A dental bone graft is a surgical procedure designed to rebuild or strengthen the jawbone in areas where it has deteriorated. Bone loss can occur due to missing teeth, gum disease, trauma, or prolonged use of dentures. This procedure provides a stable foundation for dental implants with bone graft and ensures the implant integrates properly with the jawbone.
Key Points About Dental Bone Graft
- Restores bone density and volume
- Prepares the jaw for dental implants Brisbane
- Helps maintain facial structure and aesthetics
- Improves long-term success of dental implants
Why is a Dental Bone Graft Necessary?
A strong jawbone is essential for the success of dental implants with bone graft. Without sufficient bone, implants may fail, leading to complications or unstable results.
Common Reasons for Bone Grafting
- Tooth Loss: Missing teeth cause the jawbone to deteriorate over time
- Periodontal Disease: Severe gum disease can weaken the bone supporting your teeth
- Trauma or Injury: Accidents may cause bone loss or fractures
- Long-Term Denture Use: Pressure from dentures can reduce bone density
At Implant Art, we evaluate each patient’s jaw health to determine if a dental bone graft is necessary before proceeding with implants.
Types of Dental Bone Graft
There are several types of dental bone grafts used depending on the patient’s needs.
1. Autograft
- Bone taken from another area of the patient’s body
- High success rate and biocompatible
2. Allograft
- Donor bone from a human source
- Eliminates the need for a second surgical site
3. Xenograft
- Bone obtained from an animal source, typically bovine
- Provides structural support
4. Synthetic Graft
- Lab-made bone substitute
- Biocompatible and stimulates new bone growth
These grafts help create a solid foundation for dental implants with bone graft, ensuring stability and long-term success.
The Procedure: What to Expect

Receiving a dental bone graft at Implant Art is a carefully planned and safe procedure. Here’s what patients can expect.
1. Consultation and Assessment
- Comprehensive oral exam
- 3D imaging to measure bone loss
- Personalized treatment plan for your implant needs
2. Graft Placement
- Local anesthesia or sedation for comfort
- Placement of the bone graft in the deficient area
- Secured with membranes or screws if needed
3. Healing Period
- Healing typically takes 3-6 months
- New bone growth occurs, creating a strong base for implants
- Routine follow-ups to monitor progress
Once the graft has integrated with your jawbone, you can proceed with dental implants Brisbane for a stable and functional smile.
Benefits of Dental Bone Grafts
- Improved Implant Success: Ensures your dental implants with bone graft have a solid foundation
- Restores Facial Contour: Prevents sunken cheeks and maintains facial aesthetics
- Long-Term Oral Health: Preserves bone structure and supports adjacent teeth
- Confidence in Smiling and Eating: Enables stable implants for chewing and speaking
Aftercare Tips
To maximize the success of your dental bone graft, consider these post-procedure tips:
- Avoid smoking and alcohol during the healing period
- Maintain gentle oral hygiene as instructed
- Follow all post-operative care instructions provided by Implant Art
- Attend all follow-up appointments to monitor healing
Why Choose Implant Art for Dental Implants with Bone Graft

Choosing Implant Art ensures expert care for your dental implants Brisbane journey:
- Experienced specialists in dental bone graft and implant procedures
- Personalized, patient-focused treatment plans
- State-of-the-art technology for precise grafting and implant placement
- Comprehensive care from consultation to long-term follow-up
Final Thoughts
A dental bone graft is a vital step for patients seeking dental implants with bone graft, ensuring a strong, healthy jawbone and increasing the longevity of implants. At Implant Art, we are committed to providing the best dental implants Brisbane has to offer, helping you restore both function and confidence in your smile.
Book your consultation today to find out if a dental bone graft is right for you and take the first step toward a lasting, beautiful smile.
Read More
- Single Dental Implants: A Long-Term Solution
- All-on-4 Dental Implants: Full-Arch Smile Restoration
- Dental Implants Brisbane: Choosing the Right Option

